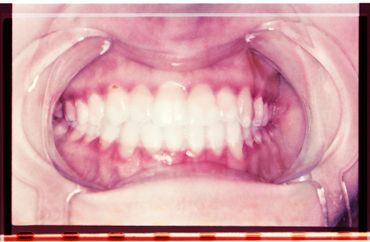
This project started as a way to make portraits via teeth. The desire for straight white teeth is uniquely American and often a mechanism marginalized populations use to signal their assimilation. American dentistry has become more of a way to symbolize affluence than to maintain proper health and hygiene.






Copyright © 2025 Alberto R Sanchez Photography - All Rights Reserved.